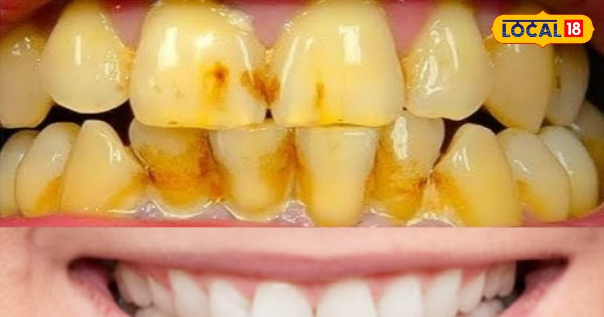
बचपन में आपने अक्सर देखा होगा कि लोगों के दांत पीले-पीले रहते हैं. चाहे ब्रश या फिर महंगे से महंगे पेस्ट का इस्तेमाल कर लें, लेकिन दांतों में चमक नहीं आती है. दांत हमेशा पीले ही दिखाई देते हैं. अगर आप भी दांतों के पीलेपन से परेशान हैं, तो ये तरीका जरूर अपनाना चाहिए. (रिपोर्टः राजीव/ मऊ)
.
.
.
.
.
.
.
.
.
.
.
.
.
.
.
https://hindi.news18.com/photogallery/lifestyle/health-how-to-remove-yellowness-of-teeth-clean-home-remedy-by-guava-leaves-best-toothpaste-local18-8948781.html
